Unlocking Ultra‑High‑Resolution 3T MRI at NeuRA Imaging
NeuRA Imaging has introduced a powerful new AI‑driven MRI capability, acquiring the highest‑resolution anatomical images ever acquired on a 3T MRI scanner.

A major software upgrade at NeuRA Imaging has delivered unprecedented ultra‑high‑resolution brain scans on a 3T system.
NeuRA Imaging is among the first research centres in Australia to implement SmartSpeed Precise [1] on a 3T system, a next‑generation dual‑AI reconstruction technology that dramatically boosts image quality and scanning efficiency.
With the ability to sharpen images by up to 80 percent and accelerate acquisitions by as much as threefold, SmartSpeed Precise represents a genuine leap forward in clinical and research imaging.
But the real headline is what this upgrade makes possible.
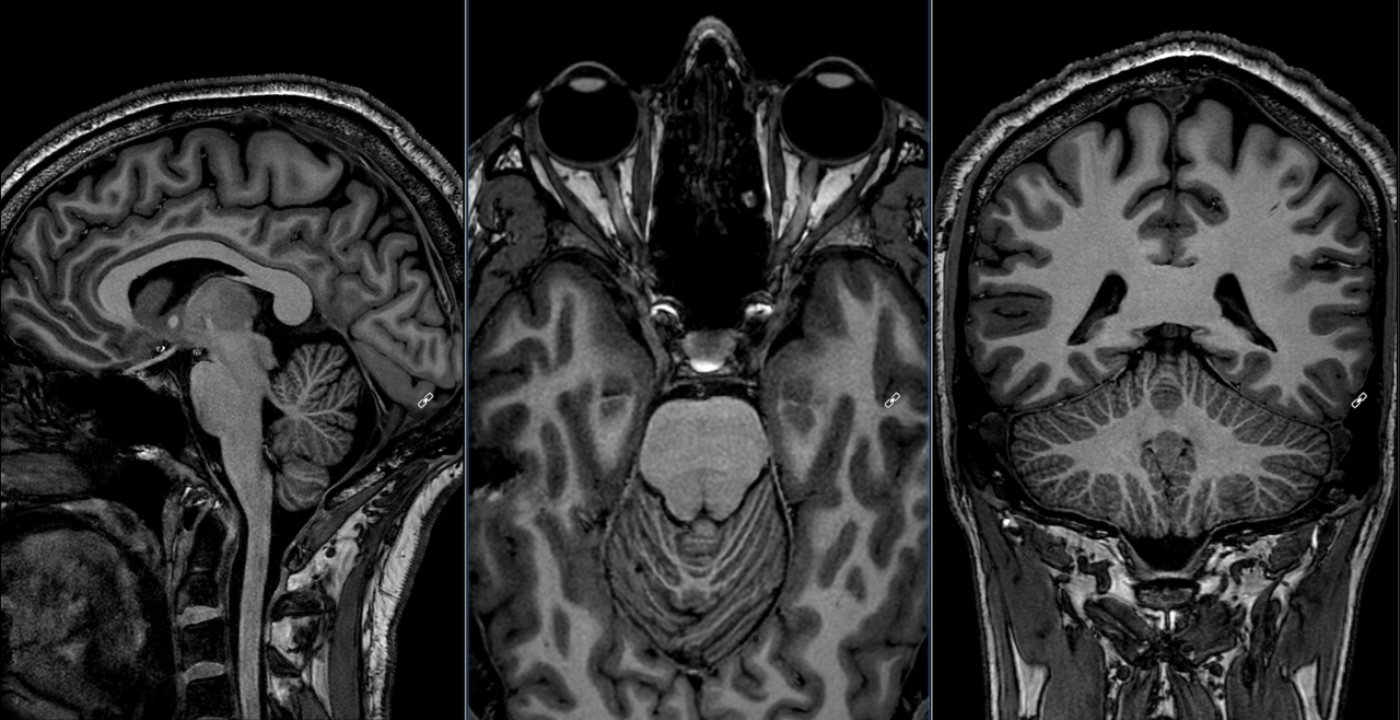
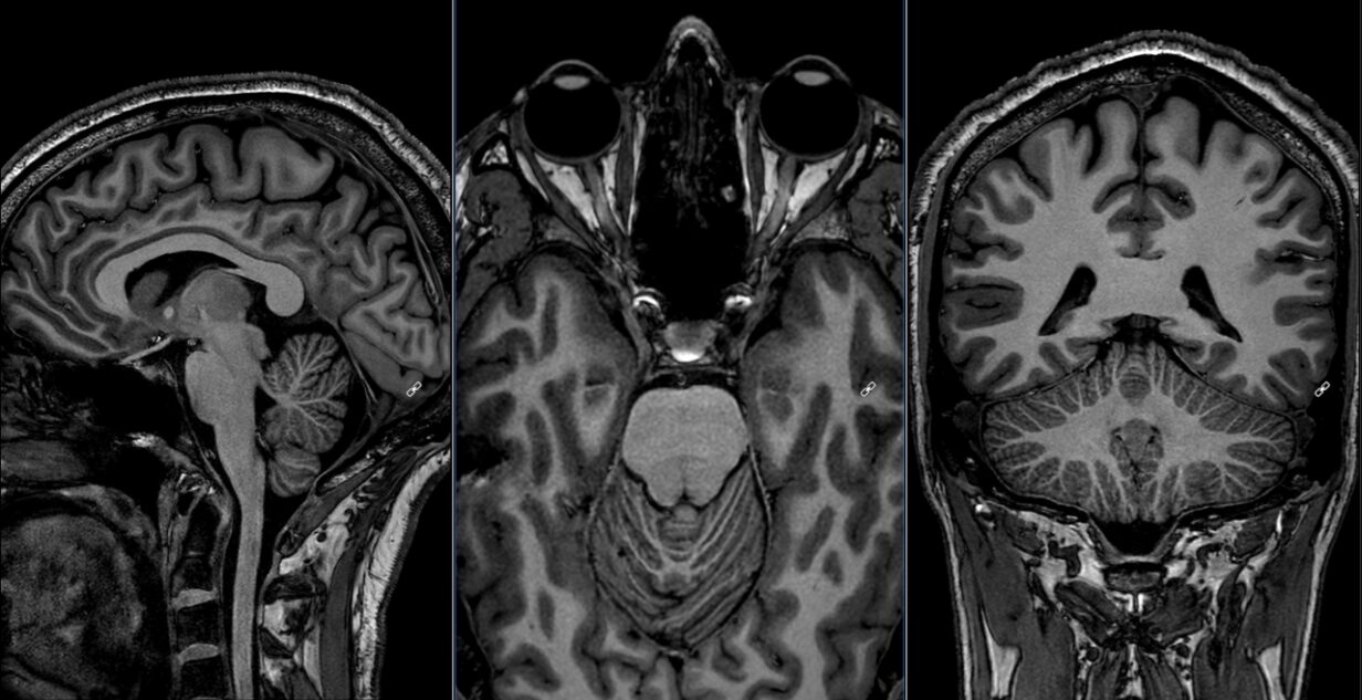
Using SmartSpeed Precise, researchers at NeuRA Imaging have now achieved 0.27 mm isotropic structural brain scans in under 13 minutes, a level of microscopic anatomical detail normally reserved for ultra‑high‑field MRI or multi‑hour, multi‑session imaging protocols.
Capturing this kind of resolution on a standard 3T system, and doing it in a routine single-session scan, marks a leap forward in 3T MRI for human neuroimaging.
For researchers, this new capability means shorter, more comfortable sessions for participants and faster access to high‑quality structural data. Many fine‑grained anatomical details that once required lengthy protocols, or weren’t feasible on 3T at all, can now be resolved in a single efficient scan.
This is especially valuable for studies involving older adults, clinical populations, and longitudinal work where minimising time in the scanner makes a meaningful difference.
Images acquired at NeuRA Imaging, thanks to Iain Ball and Brendan Moran.
[1] https://www.philips.com.au/healthcare/technology/smartspeed-precise
PRECISE reconstructed to 0.27mm iso acquisition parameters:
- Acq voxel size = 0.54 mm iso
- scan time = 12:49 min
- TR/TE = 8.3/3.7 ms, TI = 850 ms
- multishot TFE = 157, FOV = 242
- CSENSE = 2
Recent Comments